medgear.ru
Медицинское оборудование. Продажа, аренда, сервис.
Официальный дилер Mindray
8(499)399-34-96
ежедневно с 9:00 до 20:00
Заказать звонок
Москва, ул. Золотая, д. 11
Каталог
  • Узи аппараты
  • Анестезиология и реанимация
  • Косметологическое оборудование
  • Эндоскопическое оборудование
  • ЛОР оборудование
  • Оборудование для Томографии
  • Хирургическое оборудование
  • Рентген оборудование
  • Периферия и комплектующие к УЗИ аппаратам
Узи аппараты
  • Экспертного класса
  • Высокого класса
  • Среднего класса
  • Начального класса
  • Edan
  • General Electric
  • Hitachi Aloka
  • Mindray
  • Philips
  • Samsung
  • Siemens
  • SIUI
  • Toshiba
  • VINNO
  • Переносные
  • Портативные
  • Стационарные
  • Для гинекологии
  • Для кардиологии
  • Для общих видов исследований
  • Для урологии
Анестезиология и реанимация
  • Аппараты ИВЛ
  • Дефибрилляторы
  • Мониторы пациента
  • Наркозно-дыхательные аппараты
Косметологическое оборудование
  • CO2 лазер
  • Аппараты SMAS лифтинга
  • Аппараты плазменного омоложения
  • Косметологические лазеры
  • Косметологическое оборудование Energist
  • Косметологическое оборудование Korust
  • Неодимовый косметологический лазер
  • Оборудование для косметологических кабинетов
  • Фракционный лазер AMI
Эндоскопическое оборудование
  • Видеопроцессоры
  • Видеоэндоскопы
  • Гастроскопы
  • Источники света
  • Колоноскопы
  • Мойки
  • Мониторы
  • Стойки
  • Шкафы
ЛОР оборудование
  • Комбайны
  • Кресла
  • ЛОР установки
  • Рабочее место ЛОРа
Оборудование для Томографии
  • Оборудование для компьютерной томографии
  • Оборудование для МРТ
Хирургическое оборудование
  • Операционные светильники
  • Операционные столы
Рентген оборудование
  • Маммографы
  • Рентгеновские аппараты
Периферия и комплектующие к УЗИ аппаратам
  • Комплектующие
  • УЗИ датчики
Аренда УЗИ
О компании
  • Новости
  • Статьи
  • Бренды
  • Отзывы
  • Вакансии
  • Реквизиты
  • Дистрибьюторство
Услуги
  • Сервис
  • Лизинг
  • Рассрочка
Доставка и оплата
Контакты
Акции
    Официальный дилер
    medgear.ru
    Каталог
    • Узи аппараты
    • Анестезиология и реанимация
    • Косметологическое оборудование
    • Эндоскопическое оборудование
    • ЛОР оборудование
    • Оборудование для Томографии
    • Хирургическое оборудование
    • Рентген оборудование
    • Периферия и комплектующие к УЗИ аппаратам
    Узи аппараты
    • Экспертного класса
    • Высокого класса
    • Среднего класса
    • Начального класса
    • Edan
    • General Electric
    • Hitachi Aloka
    • Mindray
    • Philips
    • Samsung
    • Siemens
    • SIUI
    • Toshiba
    • VINNO
    • Переносные
    • Портативные
    • Стационарные
    • Для гинекологии
    • Для кардиологии
    • Для общих видов исследований
    • Для урологии
    Анестезиология и реанимация
    • Аппараты ИВЛ
    • Дефибрилляторы
    • Мониторы пациента
    • Наркозно-дыхательные аппараты
    Косметологическое оборудование
    • CO2 лазер
    • Аппараты SMAS лифтинга
    • Аппараты плазменного омоложения
    • Косметологические лазеры
    • Косметологическое оборудование Energist
    • Косметологическое оборудование Korust
    • Неодимовый косметологический лазер
    • Оборудование для косметологических кабинетов
    • Фракционный лазер AMI
    Эндоскопическое оборудование
    • Видеопроцессоры
    • Видеоэндоскопы
    • Гастроскопы
    • Источники света
    • Колоноскопы
    • Мойки
    • Мониторы
    • Стойки
    • Шкафы
    ЛОР оборудование
    • Комбайны
    • Кресла
    • ЛОР установки
    • Рабочее место ЛОРа
    Оборудование для Томографии
    • Оборудование для компьютерной томографии
    • Оборудование для МРТ
    Хирургическое оборудование
    • Операционные светильники
    • Операционные столы
    Рентген оборудование
    • Маммографы
    • Рентгеновские аппараты
    Периферия и комплектующие к УЗИ аппаратам
    • Комплектующие
    • УЗИ датчики
    Аренда УЗИ
    О компании
    • Новости
    • Статьи
    • Бренды
    • Отзывы
    • Вакансии
    • Реквизиты
    • Дистрибьюторство
    Услуги
    • Сервис
    • Лизинг
    • Рассрочка
    Доставка и оплата
    Контакты
    Акции
      medgear.ru
      8(499)399-34-96
      • Каталог
        • Каталог
        • Посмотреть все товары
        • Узи аппараты
          • Узи аппараты
          • Посмотреть все товары
          • Экспертного класса
            • Экспертного класса
            • Посмотреть все товары
            • Edan
            • General Electric
            • Hitachi Aloka
            • Mindray
            • Philips
            • Samsung
            • Siemens
            • SIUI
            • Toshiba
          • Высокого класса
            • Высокого класса
            • Посмотреть все товары
            • Edan
            • General Electric
            • Hitachi Aloka
            • Mindray
            • Philips
            • Samsung
            • Siemens
            • Toshiba
          • Среднего класса
            • Среднего класса
            • Посмотреть все товары
            • Edan
            • General Electric
            • Hitachi Aloka
            • Mindray
            • Philips
            • Samsung
            • Toshiba
          • Начального класса
            • Начального класса
            • Посмотреть все товары
            • Edan
            • General Electric
            • Mindray
            • Philips
            • Samsung
            • Siemens
          • Edan
            • Edan
            • Посмотреть все товары
            • Портативные
            • Стационарные
          • General Electric
            • General Electric
            • Посмотреть все товары
            • Серия Logiq
            • Серия Venue
            • Серия Versana
            • Серия Vivid
            • Серия Voluson
          • Hitachi Aloka
          • Mindray
            • Mindray
            • Посмотреть все товары
            • Портативные
            • Стационарные
          • Philips
            • Philips
            • Посмотреть все товары
            • Портативные
            • Стационарные
          • Samsung
            • Samsung
            • Посмотреть все товары
            • Портативные
            • Стационарные
            • УЗИ Samsung Medison (Самсунг Медисон)
          • Siemens
            • Siemens
            • Посмотреть все товары
            • Портативные
            • Стационарные
          • SIUI
          • Toshiba
            • Toshiba
            • Посмотреть все товары
            • Портативные
            • Стационарные
          • VINNO
          • Переносные
          • Портативные
            • Портативные
            • Посмотреть все товары
            • Edan
            • General Electric
            • Mindray
            • Philips
            • Samsung
            • Siemens
            • Toshiba
            • Портативные УЗИ аппараты экспертного класса
          • Стационарные
            • Стационарные
            • Посмотреть все товары
            • Edan
            • General Electric
            • Hitachi Aloka
            • Mindray
            • Philips
            • Samsung
            • Siemens
            • Toshiba
          • Для гинекологии
            • Для гинекологии
            • Посмотреть все товары
            • General Electric
          • Для кардиологии
            • Для кардиологии
            • Посмотреть все товары
            • General Electric
          • Для общих видов исследований
            • Для общих видов исследований
            • Посмотреть все товары
            • General Electric
          • Для урологии
            • Для урологии
            • Посмотреть все товары
            • General Electric
        • Анестезиология и реанимация
          • Анестезиология и реанимация
          • Посмотреть все товары
          • Аппараты ИВЛ
            • Аппараты ИВЛ
            • Посмотреть все товары
            • Drager
            • Mindray
            • Портативные
            • Стационарные
          • Дефибрилляторы
            • Дефибрилляторы
            • Посмотреть все товары
            • Mindray
          • Мониторы пациента
            • Мониторы пациента
            • Посмотреть все товары
            • Mindray
            • Многофункциональные
            • Модульные
            • Неонатальные
            • Портативные
            • Прикроватные
            • Реанимационные
          • Наркозно-дыхательные аппараты
            • Наркозно-дыхательные аппараты
            • Посмотреть все товары
            • Drager
            • General Electric
            • Mindray
        • Косметологическое оборудование
          • Косметологическое оборудование
          • Посмотреть все товары
          • CO2 лазер
          • Аппараты SMAS лифтинга
          • Аппараты плазменного омоложения
          • Косметологические лазеры
            • Косметологические лазеры
            • Посмотреть все товары
            • Лазерные аппараты для эпиляции
          • Косметологическое оборудование Energist
          • Косметологическое оборудование Korust
          • Неодимовый косметологический лазер
          • Оборудование для косметологических кабинетов
          • Фракционный лазер AMI
        • Эндоскопическое оборудование
          • Эндоскопическое оборудование
          • Посмотреть все товары
          • Видеопроцессоры
            • Видеопроцессоры
            • Посмотреть все товары
            • AOHUA
            • Olympus
            • Pentax
          • Видеоэндоскопы
            • Видеоэндоскопы
            • Посмотреть все товары
            • AOHUA
            • Olympus
            • Pentax
            • Видеоэндоскопические системы
            • Гибкие
            • Управляемые
          • Гастроскопы
            • Гастроскопы
            • Посмотреть все товары
            • AOHUA
            • Olympus
            • Pentax
            • Видеогастроскопы
            • Гастрофиброскопы
          • Источники света
            • Источники света
            • Посмотреть все товары
            • Aohua
            • Olympus
            • Pentax
            • Галогеновые
            • Ксеноновые
          • Колоноскопы
            • Колоноскопы
            • Посмотреть все товары
            • AOHUA
            • Olympus
            • Видеоколоноскопы
            • Колонофиброскопы
          • Мойки
            • Мойки
            • Посмотреть все товары
            • Bandeq
          • Мониторы
            • Мониторы
            • Посмотреть все товары
            • AOHUA
            • Pentax
          • Стойки
            • Стойки
            • Посмотреть все товары
            • AOHUA
          • Шкафы
            • Шкафы
            • Посмотреть все товары
            • Bandeq
        • ЛОР оборудование
          • ЛОР оборудование
          • Посмотреть все товары
          • Комбайны
            • Комбайны
            • Посмотреть все товары
            • Dixion
            • HEINEMANN
            • Medstar
            • Zerts
          • Кресла
            • Кресла
            • Посмотреть все товары
            • Dixion
            • Zerts
          • ЛОР установки
          • Рабочее место ЛОРа
        • Оборудование для Томографии
          • Оборудование для Томографии
          • Посмотреть все товары
          • Оборудование для компьютерной томографии
            • Оборудование для компьютерной томографии
            • Посмотреть все товары
            • 128 срезов
            • 16 срезов
            • 32 среза
            • 64 среза
            • General Electric
            • Philips
            • Siemens
          • Оборудование для МРТ
            • Оборудование для МРТ
            • Посмотреть все товары
            • 1.5 Тесла
            • 3.0 Тесла
            • General Electric
            • Philips
            • Siemens
        • Хирургическое оборудование
          • Хирургическое оборудование
          • Посмотреть все товары
          • Операционные светильники
            • Операционные светильники
            • Посмотреть все товары
            • Беcтеневые
            • Двухкуполные
            • Настенные
            • Передвижные
            • Потолочные
            • Видеокамеры к светильникам
          • Операционные столы
            • Операционные столы
            • Посмотреть все товары
            • Большие
            • Гинекологические
            • Многофункциональные
            • Мобильные
            • Общехирургические
            • Универсальные
            • Электрогидравлические
            • Dixion
            • Mindray
        • Рентген оборудование
          • Рентген оборудование
          • Посмотреть все товары
          • Маммографы
            • Маммографы
            • Посмотреть все товары
            • General Electric
            • Siemens
            • Аналоговые
            • Портативные
            • Скрининговые
            • Цифровые
          • Рентгеновские аппараты
            • Рентгеновские аппараты
            • Посмотреть все товары
            • General Electric
            • Philips
            • Мобильный
            • С-Дуга
            • Стационарный
            • Цифровой
        • Периферия и комплектующие к УЗИ аппаратам
          • Периферия и комплектующие к УЗИ аппаратам
          • Посмотреть все товары
          • Комплектующие
          • УЗИ датчики
            • УЗИ датчики
            • Посмотреть все товары
            • Датчики узи Philips (Филипс)
      • Аренда УЗИ
      • О компании
        • Назад
        • О компании
        • Новости
        • Статьи
        • Бренды
        • Отзывы
        • Вакансии
        • Реквизиты
        • Дистрибьюторство
      • Услуги
        • Назад
        • Услуги
        • Сервис
        • Лизинг
        • Рассрочка
      • Доставка и оплата
      • Контакты
      • Акции
      • 8(499)399-34-96
      Москва, ул. Золотая, д. 11
      info@medgear.ru

      Аренда УЗИ аппарата Mindray DP-50 Color

      • Mindray DP-50 Color
      • Mindray DP-50 Color
      • Mindray DP-50 Color
      • Mindray DP-50 Color
      • Mindray DP-50 Color
      • Mindray DP-50 Color
      Аренда на срок от 1 дняАренда на срок от 1 дня
      Дешевле, чем покупка, в разыДешевле, чем покупка, в разы
      Официально: по договоруОфициально: по договору
      Без залогов и поручителейБез залогов и поручителей
      Характеристики
      • 15" LCD экран
      • Два встроенных активных порта для датчиков
      • 320 Гб встроенный жесткий диск
      • 4 USB порта
      • VGA выход
      • S-video выход
      • Блок питания
      Программная часть
      • Режимы сканирования: B/2B/4B/M/B+M/CFM/PDI/Направленный PDI/PW
      • iBeam™ - многолучевое сложносоставное сканирование
      • iClear™ - адаптивный алгоритм подавления зернистости
      • iTouch™ - автоматическая оптимизация изображений
      • Тканевая гармоника с инверсией импульса
      • Трапециевидное сканирование (виртуальный конвекс) и сдвиг луча на линейных датчиках
      • Программа ведения базы данных пациента iStation™
      • Компенсация усиления по глубине (TGC) - 8 уровней
      • Пакеты измерений и программ для всех видов исследований (Shared Service)
      Датчики и устройства
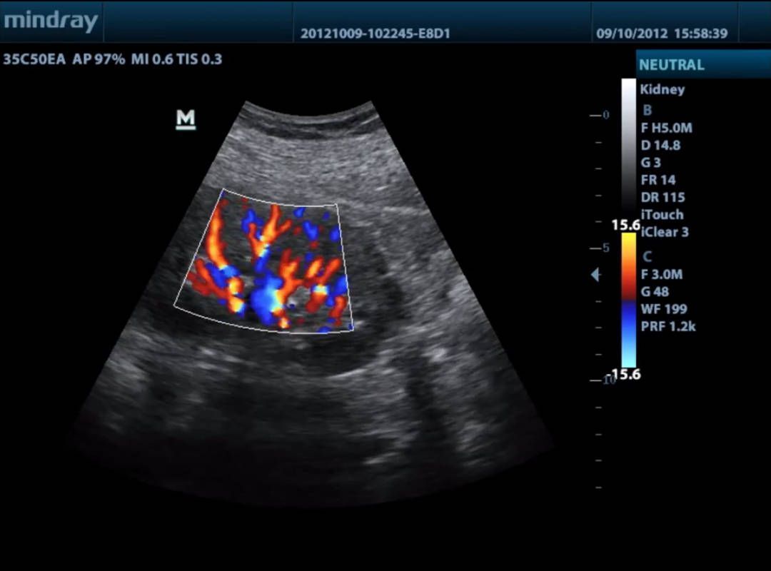
      Конвексный датчик 35C50EA
      Конвексный датчик 35C50EA
      2.0 - 6.0 МГц, рад.кривизны 50 мм
      Микроконвексный датчик 65C15EA
      Микроконвексный датчик 65C15EA
      5.0 - 9.0 МГц, рад кривизны 15 мм
      Линейный датчик 75L38EA
      Линейный датчик 75L38EA
      Линейный датчик, 5.0 - 10.0 МГц, апертура 38 мм
      Высокочастотный линейный датчик 10L24EA
      Высокочастотный линейный датчик 10L24EA
      Высокочастотный линейный датчик, 8.0 - 14.0 МГц, апертура 24 мм
      Внутриполостной датчик 65EC10EA
      Внутриполостной датчик 65EC10EA
      5.0 - 9.0 МГц, рад. кривизны 10 мм
      Устройства
      Термопринтер MITSUBISHI P93DE
      Термопринтер MITSUBISHI P93DE
      Цифровой видеопринтер для черно-белой печати
      UMT-150 мобильная тележка
      UMT-150 мобильная тележка
      Клинические изображения
      • Mindray DP-50 Color

        Mindray DP-50 Color

      • Mindray DP-50 Color

        Mindray DP-50 Color

      • Mindray DP-50 Color

        Mindray DP-50 Color

      • Щитовидная железа

        Щитовидная железа

      • Поджелудочная железа

        Поджелудочная железа

      • Mindray DP-50 Color
      • Mindray DP-50 Color
      • Mindray DP-50 Color
      • Щитовидная железа
      • Поджелудочная железа

      Порядок заказа и работы

      Заявка и консультация
      Заявка и консультация Вы оставляете заявку на сайте или заказываете обратный звонок. Специалист предлагает подходящее оборудование и согласовывает с вами финансовые условия.
      Заключение договора
      Заключение договора Подписываем договор на поставку, клиент вносит предоплату от 10% до 100%. Оплачиваете удобным вам способом.
      Доставка
      Доставка Специалисты Медгир отправляют аппарат транспортной компанией. В течении 3–7 дней аппарат приезжает по адресу доставки
      Установка и инструктаж
      Установка и инструктаж В день доставки инженер вводит аппарат в эксплуатацию и проводит инструктаж
      Взять в аренду Mindray DP-50 Color

      Взять в аренду Mindray DP-50 Color


       

      Почему МедГир

      1 Мы первая компания, которая предоставляет в аренду новые УЗИ аппараты
      2 Мы занимаемся арендой УЗИ аппаратов с 2016 года и знаем все тонкости данной услуги
      3 Парк наших арендных аппаратов не старше трёх лет
      4 В стоимость включен инструктаж ваших специалистов
      5 Мы работаем по всей России
      6 Доставка по Москве и МО - бесплатно!
      7 Доставка в регионы бесплатна при аренде от 6 месяцев
      8 Скидки при аренде от 8 месяцев до 20%

      МедГир
      О компании
      Бренды
      Доставка и оплата
      Контакты
      Политика конфиденциальности
      Новости
      Cтатьи
      Карта сайта
      Каталог
      Узи аппараты
      Анестезиология и реанимация
      Косметологическое оборудование
      Эндоскопическое оборудование
      ЛОР оборудование
      Оборудование для Томографии
      Хирургическое оборудование
      Рентген оборудование
      Периферия и комплектующие к УЗИ аппаратам
      Услуги
      Аренда УЗИ
      Сервис
      Лизинг
      Рассрочка
      Сообщества
      • MTPP
      • Atlanty
      Наши контакты

      8(499)399-34-96
      ежедневно с 9:00 до 20:00
      Москва, ул. Золотая, д. 11
      info@medgear.ru
      © 2016 - 2026 ООО «МедГир»